[ad_1]


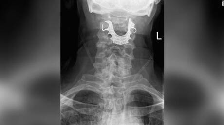
Μία… μασέλα κολλημένη στον λαιμό του είχε επί οκτώ ημέρες ένας 72χρονος, μετά από χειρουργική επέμβαση.
[ad_2]
Διαβάστε περισσότερα
[ad_1]


Μία… μασέλα κολλημένη στον λαιμό του είχε επί οκτώ ημέρες ένας 72χρονος, μετά από χειρουργική επέμβαση.
[ad_2]
Διαβάστε περισσότερα